TéléRadiographie des Membres Inférieurs
Tous les examensSommaire de l'article
Préparation
Pour une téléradiographie des membres inférieurs, aucune préparation n'est requise. Il est recommandé d'enlever tous les bijoux avant de se présenter.
Positionnement
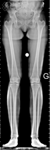
Vous serez installés en position verticale avec les pieds joints.
Déroulement
Un ou plusieurs clichés radiographiques seront réalisés. Le manipulateur en radiologie vous positionnera selon l'incidence radiologique à effectuer. Sauf indication contraire, il est important de ne pas bouger durant la prise de clichés.
Après l'examen
Après la fin de la téléradiographie des membres inférieurs, vous pourrez continuer vos activités de la journée sans problème. S'il y a eu une injection, le manipulateur en radiologie retirera le cathéter et il vous sera recommandé de boire beaucoup d'eau afin d'éliminer au mieux le produit de contraste.
04Contre-indications
Avant de passer une téléradiographie des membres inférieurs, il est primordial de signaler si vous êtes ou pensez être enceinte. En effet, vous devrez passer l'examen sous certaines conditions.
-
Pas d'indications
- Aix-en-Provence
- Antony
- Argenteuil
- Arles
- Arnouville
- Aubervilliers
- Aulnay-sous-Bois
- Beaumont
- Berck
- Boulogne-Billancourt
- Brest
- Brignoles
- Brunoy
- Castelnaudary
- Castres
- Charenton-le-Pont
- Clichy
- Courbevoie
- Craponne
- Créteil
- Écully
- Étampes
- Évry
- Fontaine
- Fontenay-sous-Bois
- Gagny
- Gardanne
- Gazeran
- Goussainville
- Grenoble
- Joinville-le-Pont
- Jouy-le-Moutier
- Langon
- Lannemezan
- Le Kremlin-Bicêtre
- Le Plessis-Trévise
- Le Pont-de-Claix
- Le Raincy
- Lyon
- Marseille
- Mougins
- Narbonne
- Olonne-sur-Mer
- Ormesson-sur-Marne
- Palaiseau
- Paris
- Pertuis
- Pithiviers
- Quincy-sous-Sénart
- Rueil-Malmaison
- Rumilly
- Saint-Amand-Montrond
- Saint-Aubin-sur-Scie
- Saint-Mandé
- Saint-Maur-des-Fossés
- Saint-Maximin-la-Sainte-Baume
- Saint-Priest
- Sevran
- Strasbourg
- Thiais
- Toul
- Toulouse
- Tournefeuille
- Tours
- Villeneuve-sur-Lot
- Vincennes
- Vitry-sur-Seine
- Voreppe
- Yerres
- Lausanne
