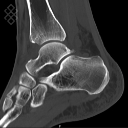
Scanner de la Cheville
Tous les examensSommaire de l'article
01
Préparation
Tous les bijoux de la région examinée devront être retirés.
02
Positionnement
Vous serez couchés sur le dos avec les bras sur la poitrine.
03
Déroulement
La durée moyenne de l'examen est de 10 min.
Après l'examen
Après la fin du scanner de la cheville, vous pourrez continuer vos activités de la journée sans problème.
04Contre-indications
Avant de passer un scanner de la cheville, il est primordial de signaler si vous êtes ou pensez être enceinte. En effet, vous devrez passer l'examen sous certaines conditions.
Scanner de la Cheville
Vidéos
Tags
Indications
-
Pas d'indications
Où trouver cet examen :
- Aix-en-Provence
- Argenteuil
- Aulnay-sous-Bois
- Avignon
- Bagnolet
- Beaumont
- Brignoles
- Bry-sur-Marne
- Caen
- Caluire-et-Cuire
- Charenton-le-Pont
- Claye-Souilly
- Colmar
- Dijon
- Écully
- Évry
- Garges-lès-Gonesse
- Le Chesnay
- Lyon
- Marseille
- Menton
- Meulan-en-Yvelines
- Montfermeil
- Montpellier
- Montreuil
- Ollioules
- Ormesson-sur-Marne
- Paris
- Perpignan
- Pertuis
- Plaisir
- Rouen
- Saint-Jean-de-Védas
- Sarcelles
- Strasbourg
- Talant
- Thiais
- Thionville
- Toulon
- Toulouse
- Tours
- Valenciennes
- Vénissieux
- Vitry-sur-Seine
- Marrakech
- Tangier
France :
Maroc :
