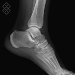
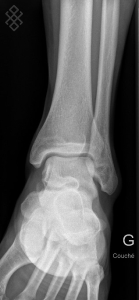
Radiographie de la Cheville
Tous les examensSommaire de l'article
Préparation
Pour une radiographie de la cheville, aucune préparation n'est requise. Il est recommandé d'enlever tous les bijoux avant de se présenter.
Positionnement
Vous serez installés en position debout.
Déroulement
La durée de l'examen est d'environ 5 minutes.
Après l'examen
Après la fin de la radiographie de la cheville, vous pourrez continuer vos activités de la journée sans problème. S'il y a eu une injection, le manipulateur en radiologie retirera le cathéter et il vous sera recommandé de boire beaucoup d'eau afin d'éliminer au mieux le produit de contraste.
04Contre-indications
Avant de passer une radiographie de la cheville, il est primordial de signaler si vous êtes ou pensez être enceinte. En effet, vous devrez passer l'examen sous certaines conditions.
-
Pas d'indications
- Aix-en-Provence
- Albi
- Amiens
- Ancenis
- Angers
- Antony
- Argenteuil
- Arles
- Asnières-sur-Oise
- Aubagne
- Aubervilliers
- Aulnay-sous-Bois
- Bagnolet
- Bandol
- Beaulieu-sur-Mer
- Beaumont
- Belfort
- Berck
- Biganos
- Bordeaux
- Boulogne-Billancourt
- Brest
- Brignoles
- Brunoy
- Caen
- Caluire-et-Cuire
- Cannes
- Castelnaudary
- Castres
- Caussade
- Cergy
- Chantonnay
- Charenton-le-Pont
- Châteaudun
- Châtillon
- Chaumont
- Chelles
- Choisy-le-Roi
- Claye-Souilly
- Clichy
- Colmar
- Conflans-Sainte-Honorine
- Coquelles
- Courbevoie
- Craponne
- Créteil
- Dechy
- Dieuze
- Dijon
- Dinan
- Douai
- Écully
- Erstein
- Étampes
- Évry
- Fleury-les-Aubrais
- Fontaine
- Fontenay-sous-Bois
- Fougères
- Gagny
- Garches
- Gazeran
- Gennevilliers
- Gentilly
- Goussainville
- Grasse
- Gravelines
- Grenoble
- Haguenau
- Illkirch-Graffenstaden
- Joinville-le-Pont
- Jouy-le-Moutier
- Langon
- Lannemezan
- Laval
- Le Kremlin-Bicêtre
- Le Plessis-Trévise
- Le Pont-de-Claix
- Le Raincy
- Lens
- Lille
- Livry-Gargan
- Lons-le-Saunier
- Lyon
- Mâcon
- Malakoff
- Mandelieu-la-Napoule
- Manduel
- Marseille
- Meudon
- Montélimar
- Montfermeil
- Montpellier
- Montreuil
- Mougins
- Nancy
- Nantes
- Narbonne
- Neufchâtel-en-Bray
- Neuilly-Plaisance
- Nice
- Olonne-sur-Mer
- Ormesson-sur-Marne
- Palaiseau
- Paris
- Perpignan
- Pierrefitte-sur-Seine
- Pinsaguel
- Pithiviers
- Pont-Saint-Esprit
- Port-de-Bouc
- Portet-sur-Garonne
- Quetigny
- Quincy-sous-Sénart
- Reims
- Rennes
- Rethel
- Romilly-sur-Seine
- Roubaix
- Rouen
- Rueil-Malmaison
- Rumilly
- Saint-Amand-Montrond
- Saint-Aubin-sur-Scie
- Saint-Claude
- Saint-Denis
- Saint-Doulchard
- Saint-Georges-Buttavent
- Saint-Jean-de-la-Ruelle
- Saint-Mandé
- Saint-Martin-Boulogne
- Saint-Maur-des-Fossés
- Saint-Max
- Saint-Maximin-la-Sainte-Baume
- Saint-Priest
- Sangatte
- Saumur
- Sceaux
- Sens
- Six-Fours-les-Plages
- Somain
- Sommières
- Strasbourg
- Talant
- Thiais
- Thionville
- Toul
- Toulouse
- Tournefeuille
- Tours
- Trappes
- Trets
- Troyes
- Valenciennes
- Vandœuvre-lès-Nancy
- Vaulx-en-Velin
- Vénissieux
- Vern-sur-Seiche
- Villemomble
- Villeneuve-sur-Lot
- Vincennes
- Vitry-sur-Seine
- Voreppe
- Yerres
- Agadir
- Fes
- Tangier
- Lausanne
- Lugano
