Infiltration Lombaire sous Scanner
Tous les examensSommaire de l'article
Préparation
Pour une infiltration lombaire sous scanner, aucune préparation n'est requise.
Positionnement
Vous serez couchés sur le ventre avec les bras sous la tête. De plus, le manipulateur en radiologie vous mettra un repère métallique sur la peau (à l'endroit de l'infiltration).
Déroulement
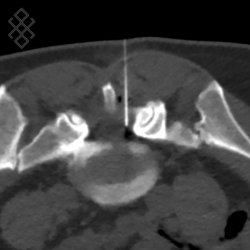
La durée de l'examen est d'environ 20 minutes. Le médecin radiologue fera un repérage de la région à infiltrer sous scanner. Ensuite, il effectuera une anesthésie locale pour introduire sous contrôle scanner une aiguille fine. Il contrôlera l'avancement de l'aiguille jusqu'au bon positionnement pour l'injection du corticoïde. Enfin, l'aiguille sera retirée et le soulagement pourra apparaître directement ou après deux jours.
Après l'examen
Après l'examen d'infiltration lombaire sous scanner, vous pourrez rentrer chez vous sans problème. Cependant, pendant au minimum 24h, il vous sera recommandé d'éviter de porter des charges lourdes et de faire du sport. De plus, pendant 72h, la piscine, le hammam et le sauna vous seront interdit pour éviter les infections.
04Contre-indications
Avant de passer une infiltration lombaire sous scanner, il est primordial de signaler si vous êtes sous traitement anticoagulant (Sintrom, Marcoumar) ou antiagrégant (Aspirine, Plavix). En effet, dans ces cas, vous devrez passer l'examen sous certaines conditions.
-
Pas d'indications
- Saint-Jean-de-Védas
